30代 女性
| 30代女性 | |
|---|---|
|
|
|
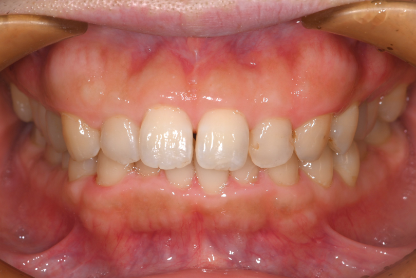
| 主訴 | 歯をきれいにしたい。 |
| 診断・処理 | 着色による歯面の汚れ。 |
| 来院の経緯 | 全顎的な着色が気になる。 |
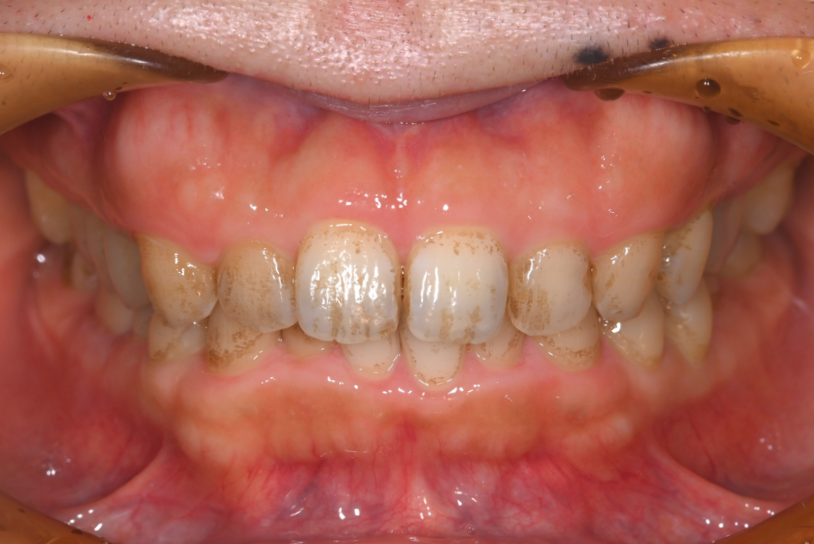
上下顎臼歯部にう蝕と全顎的な着色を認めたので、う蝕部位をE-maxで治療した後、PMTCによる着色除去を計画しました。
う蝕により黒くなっていた臼歯部はE-maxインレー(セラミックインレー)にて修復し、歯科衛生士によるPMTCで歯面に付着した着色を除去しました。
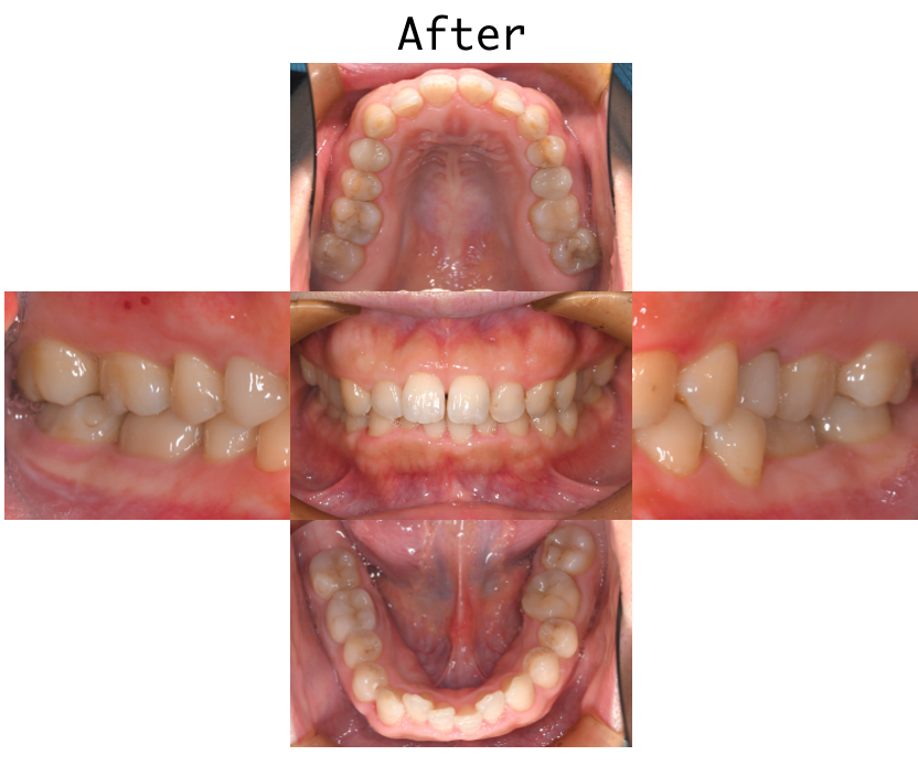
治療終了時、患者様には着色の無いきれいなご自身の歯に大変満足して頂きました。
治療費:E-maxインレー 8万円(材料や方法によって治療費は前後します。)/PMTC 保険適応
治療後に考えられる合併症: E-maxインレーは神経のある歯を削り装着しており、PMTC時には歯石を除去してから歯面研磨を行うため、冷たいものがしみて痛みがでる可能性があります。また、日常生活で再度歯の着色が起こる可能性があるため、白い歯を維持するためには継続的なメンテナンスが必要です。

