症例一覧
| 30代女性 | |
|---|---|
|
|
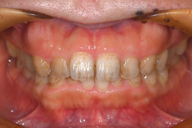
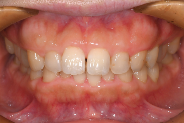
| 主訴 | 歯をきれいにしたい。 |
| 診断・処置 | 着色による歯面の汚れ。 |
|
|
| 矯正治療 60代、男性 | |
|---|---|
|
|
| 主訴 | 歯並びが悪く、噛み合わせが反対になっている。 |
| 診断・処置 | 叢生及び前歯部反対咬合 |
|
|
| インプラント 10代, 女性 | |
|---|---|
|
|
| 主訴 | 永久歯の先天性欠如、乳歯の残存、および歯列不正。歯列矯正およびイ... |
| 診断・処置 | 矯正専門医による矯正治療後、インプラントによる咬合機能回復 |
|
|
| 歯周病 40代女性 | |
|---|---|
|
|
| 主訴 | 前歯の歯ぐきが下がり、冷たいものでしみる |
| 診断・処置 | 歯肉退縮による知覚過敏 |
|
|
| 根管治療 40代男性 | |
|---|---|
|
|
| 主訴 | 左下奥歯の歯ぐきの腫れ。 |
| 診断・処置 | 慢性根尖性歯周炎 |
|
|
| 根管治療 40代女性 | |
|---|---|
|
|
| 主訴 | 右下の歯ぐきに違和感がある。 |
| 診断・処置 | 慢性根尖性歯周炎 |
|
|
| 審美治療 40代女性 | |
|---|---|
|
|
| 主訴 | 前歯をキレイにしたい。 |
| 診断・処置 | ラミネートベニアの破折と二次う蝕。 |
|
|
| インプラント All on 4 | |
|---|---|
|
|
| 主訴 | 義歯が安定せず、痛い。 |
| 診断・処置 | 長期の義歯使用で顎骨が吸収。オトガイ孔を圧迫し痛む。 |
|
|
| 歯周病 | |
|---|---|
|
|
| 主訴 | 歯肉が下がってきた。 |
| 診断・処置 | 歯肉退縮、歯質の磨耗 |
|
|
| 審美治療 20代 男性 | |
|---|---|
|
|
| 主訴 | 変色が気になる |
| 診断・処置 | 他院で歯の神経を取ったことにより起こった、変色 |
|
|
| 審美治療 30歳代 女性 | |
|---|---|
|
|
| 主訴 | 歯がしみる |
| 診断・処置 | 歯肉退縮(Millerの分類 1級) |
|
|
| インプラント ①20代、女性。 | |
|---|---|
|
|
| 主訴 | 約10年前に前歯部を打撲。右上中切歯の破折、歯根骨性癒着の影響で... |
| 診断・処置 | 歯根破折、歯列不正 |
|
|

